Launch a fully-integrated preventive screening program that generates revenue, grows your patient base, and can save lives.
Turn routine visits into high-revenue preventive care, fully covered by major insurances.
Stand out with advanced care that attracts, retains, and builds patient loyalty.
Identify potential health issues 2-5 years earlier with screening that goes beyond basic labs.
*These numbers are subject to change depending on various factors.
Real stories from healthcare providers who have elevated their practice and patient outcomes with our program.
A turn-key approach that delivers additional revenue.
Dr. Nimesh Patel
Data-driven care that drives results.
Dr. Gordon Crofoot
A preventive program patients actually appreciate.
Dr. Bernice Gonzalez
Join thousands of physicians already seeing incredible returns.
*These numbers are subject to change depending on various factors.

Abnormal enlargement of the thyroid gland

Damage to the eye’s blood vessels caused by diabetes

Accumulation of cholesterol and fats in the arteries

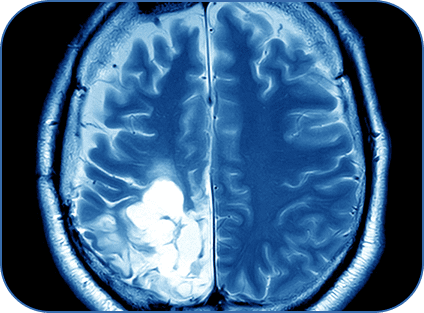
Abnormal growth of cells in the brain

Solid crystals that form from minerals/acids/salts in the kidneys

Semi-solid masses of blood that can block blood flow
Join thousands of physicians already seeing incredible returns.






Advanced Physicals Program for physicians designed to enhance patient care while driving practice growth and revenue.